您的位置: 时光网 > 资讯 > 青少年门牙松动了怎么办还能恢复吗?2025轻微松动出血最快解决方法及费用参考
发布时间:2025-10-16 08:01:02
阅读:
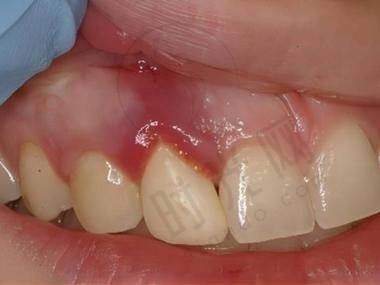
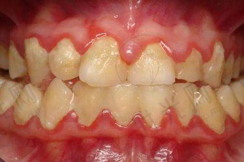
12岁的小宇早上刷牙时,手指不小心碰到门牙,突然感觉牙齿“晃了一下”——再仔细一看,门牙不仅松动,牙龈缝里还渗出了一丝血丝。“妈!我的牙要掉了!”惊慌的哭喊声让全家紧张起来。其实,像小宇这样的情况在青少年中并不少见:12 - 18岁正是恒牙替换完成、但牙根尚未完全稳固的阶段,加上活泼好动、口腔卫生习惯还在养成中,门牙松动成了家长们的“高频焦虑点”。特别多人会问:青少年门牙松动了到底能不能修复?是不是必须拔牙?今天这篇文章就给家长和孩子们说清楚:青少年门牙松动多数情况下能修复,但关键看“原因”和“处理速度”——轻微松动+出血别慌,掌握科学方法,90%的情况能保住牙齿!接下来我们从“能不能修复”“紧急怎么办”“医院怎么治”“怎么避坑”四个方面,手把手教你应对青少年门牙松动问题。
? 发现门牙松动第一反应:“这牙还能保住吗?”
特别多家长一看到孩子门牙松动就联想到“掉牙”,其实青少年(尤其是12 - 18岁)的门牙松动和成年人不一样——恒牙刚萌出不久,牙根还在“发育加固期”(医学上叫“牙根未完全形成”),加上青少年新陈代谢快、组织修复能力强,只要不是“牙根断裂”“重度感染”等极端情况,80%以上的轻微松动都能通过科学处理修复稳固。但“能修复”的前提是搞懂松动的原因,不同原因对应不同的修复概率:
1. 更常见:外伤或“咬硬物”导致的“暂时性松动”
青少年爱打闹、啃排骨/冰块时用力过猛,可能导致牙齿“挫伤”——就像韧带拉伤一样,牙根周围的牙周膜充血水肿,牙齿会轻微松动、咬东西疼,可能伴少量出血(比如牙龈缘渗血)。这种情况就像“牙齿崴了脚”,只要及时让牙齿“休息”,90%在2 - 4周内会自行稳固。
举个例子:14岁的小彤打篮球时被球砸到门牙,当时有点晃但没出血,她没在意,继续啃苹果,结果3天后牙齿松动加重。医生检查发现是牙周膜损伤后持续受力,导致水肿加剧,末尾通过“牙弓夹板固定”+2周软食,1个月后牙齿修复稳固。
2. 要警惕:口腔卫生差引发的“牙周问题低龄化”
别以为牙周病是成年人的专项!现在特别多青少年因为“不认真刷牙+爱吃甜食”,牙龈发炎(牙龈炎)久拖不治,会导致牙龈和牙齿间的“缝隙”变深,牙齿失去支撑而松动。这种情况早期(仅牙龈红肿出血、轻微松动)只要改善卫生习惯+洗牙,3个月左右牙龈修复,牙齿能重新变稳;但如果拖到“牙龈萎缩露出牙根”,修复难度会大大增加,甚至可能影响恒牙寿命。
《国内青少年口腔健康报告》显示:12 - 15岁青少年牙龈炎患病率高达60%,其中10%会发展为早期牙周炎,出现牙齿松动——这也是为什么医生总强调“青少年洗牙不是奢侈品”。
3. 更特殊:替牙期“双排牙”导致的“生理性松动”
如果孩子在11 - 13岁左右,门牙旁边长出新牙,旧乳牙没掉,新牙松动——这是“乳牙滞留”导致的恒牙错位萌出,属于替牙期正常现象。这种情况只要及时拔掉滞留的乳牙,让新牙“归位”,3 - 6个月后松动会逐渐缓解,不需要过度治疗。但如果恒牙萌出后长期松动(超过6个月),要警惕“牙根发育异常”,需拍X光片检查。
重点提示:无论哪种原因,“24小时内”是黄金处理期!尤其是外伤导致的松动,超过48小时未处理,牙根吸收的风险会增加3倍,修复概率直接降到50%以下。
? 孩子喊“牙松了还流血”,别慌着往医院冲!先做这几件事
发现青少年门牙松动+出血,家长更容易犯的错是“上手掰牙”“用盐水猛漱口”或“赶紧喂消炎药”——这些操作可能加重损伤!正确的紧急处理分3步,简单易操作,能为后续治疗争取时间:
第一步:立刻“停止刺激”,让牙齿“休息”
✓ 别碰!让孩子轻轻闭上嘴,完全地不要用手掰、摇晃牙齿,也别用舌头舔或用牙签挑牙龈,避免牙周膜进一步撕裂。
✓ 停食!1小时内别用患牙吃东西,24小时内吃温凉的软食(比如粥、牛奶、豆腐),避免热食刺激出血,也别吃需要啃咬的食物(苹果、排骨等)。
✓ 禁刷!当天别用牙刷刷患牙区域,可用清水轻轻漱口(水温接近体温,太凉太热都会刺激牙髓)。
第二步:局部止血+减轻肿胀,2个小技巧
如果牙龈有少量出血(血丝或点状出血):
✓ 冷水漱口:用4℃左右的冷水(别用冰水)含漱30秒,重复2 - 3次,既能收缩血管止血,又能缓解牙周膜水肿(就像崴脚后冷敷)。
✓ 纱布压迫:如果出血稍多,取干净的医用纱布(或无菌棉球),轻轻咬在出血的牙龈处3 - 5分钟(别太用力,避免压伤牙齿),一般能止血。
⚠️ 注意:如果出血超过10分钟止不住,或伴随牙齿“伸长”“移位”(比如牙齿比旁边的牙突出/凹陷),可能是“牙脱位”,必须立刻去医院!
第三步:轻微松动可“临时固定”,但别乱绑
如果牙齿松动明显(晃动能超过1mm),但没有移位,可在家做简单固定:
✓ 方法:取一根牙线(或细丝线),绕着松动牙和旁边2颗健康牙轻轻“8字缠绕”(力度以牙齿不晃为准,别勒太紧),相当于给牙齿“搭个支架”。
✓ 原理:临时固定能减少牙齿活动,让牙周膜在稳定的环境下修复,就像骨折后打石膏。但这种固定只能维持24小时,第二天必须去医院让医生处理(避免缠绕过紧导致牙龈缺血)。
实例参考:13岁的小浩啃鸡腿时门牙被硌松,轻微出血,妈妈按上面3步处理:冷水漱口止血,用牙线临时固定,第二天带他去医院。医生检查发现是牙周膜轻度损伤,去掉临时固定后,让他软食2周,1个月复查时牙齿已完全稳固——正确的紧急处理能让治疗难度下降60%!
? 到了医院,医生会怎么处理?要花多少钱?
特别多家长带孩子看牙时心里没底:“医生会不会直接拔牙?”“拍X光对孩子有影响吗?”其实青少年门牙松动的治疗原则是“能保就保”,除非牙齿已“连根脱出”或“牙根断裂无法修复”,否则不会轻易拔牙。以下是医院治疗的标准流程和费用参考,让你心里有数:
第一步:必做检查——3项检查判断“牙齿还能不能要”
到医院后,医生会先做这3项检查,千万别省:
✓ 口腔CT/X光片(关键!):拍一张根尖片(费用约50 - 100元),能看到牙根是否断裂、牙槽骨有没有骨折、牙齿有没有“嵌入骨头”(嵌入性脱位)。青少年恒牙牙根可能还没发育完全(根尖孔未闭合),X光片能帮医生判断预后——比如牙根未断裂的话,修复概率高达90%。
✓ 松动度检查:医生用镊子轻轻晃动牙齿,判断松动程度(Ⅰ度:晃动能1mm以内;Ⅱ度:1 - 2mm且有前后/左右晃动;Ⅲ度:>2mm或上下浮动),Ⅰ度松动通常不用特殊固定,Ⅱ - Ⅲ度需要干预。
✓ 牙髓活力测试:用冷热刺激或电流测试牙齿神经是否存活(费用约30 - 50元)。外伤后牙髓可能“休克”,暂时没反应,医生会建议观察1 - 3个月,别急于“抽神经”(根管治疗)。
第二步:分情况治疗——从“保守护理”到“修复”的4种方案
根据检查结果,治疗方案和费用差异较大,以下是青少年更常见的4种情况:
| 松动原因 | 治疗方法 | 修复周期 | 费用参考(一线城市) | 适合人群 |
|--------------------|-----------------------------|--------------|--------------------------|----------------------------|
| 轻度挫伤(Ⅰ度松动) | 休息+软食+口腔卫生维护 | 2 - 4周 | 0 - 200元(检查费) | 仅轻微松动,无出血/疼痛 |
| 中度损伤(Ⅱ度松动) | 牙弓夹板固定(钢丝/树脂) | 4 - 8周 | 500 - 1500元 | 松动1 - 2mm,牙周膜损伤 |
| 牙脱位(半脱位/嵌入)| 复位+固定+定期复查 | 2 - 3个月 | 1000 - 3000元 | 牙齿移位、伸长或嵌入牙槽骨 |
| 牙髓坏死/根尖炎 | 根管治疗+牙冠修复(暂时) | 3 - 6个月 | 2000 - 5000元 | 神经坏死,出现咬合痛、肿胀 |
⚠️ 重点提醒:青少年尽量别选“种植牙”!种植牙需要成年后(18岁后)骨骼发育完成才能做,12 - 18岁如果牙齿重度受损无法保留,通常先做“临时义齿”(活动假牙,费用约500 - 1000元),成年后再换成固定修复或种植。
第三步:术后护理——医生不会说但超重要的3件事
治疗后不是万事大吉,护理不当可能导致“二次松动”:
✓ 坚持软食4周:固定期间(比如牙弓夹板固定),患牙完全不能受力,吃饭要“用另一侧咀嚼”,避免米饭、面条等细小食物嵌塞在固定装置里(饭后用冲牙器轻轻冲洗)。
✓ 定期复查别偷懒:术后1周、1个月、3个月必须复查!医生会通过X光片看牙根是否吸收(外伤后常见并发症),牙髓活力是否修复,发现问题及时处理(比如牙根吸收早期可做根管治疗挽救)。
✓ 口腔卫生升级:每天用含氟牙膏(青少年专用款,含氟量0.1% - 0.15%)刷牙2次,配合牙线清洁邻面,固定装置拆除后洗牙1次(清除固定期间积累的牙菌斑)。
? 家长更容易踩的3个坑,看完少花冤枉钱
青少年门牙松动的治疗成效,一半靠医生,一半靠家长和孩子的配合——但特别多家庭因为“想当然”的错误操作,让原本能修复的牙齿变得“保不住”。以下3个坑一定要避开:
坑1:家庭护理“想当然”——这些土方法千万别试!
✘ “用盐水/白酒漱口消毒”:盐水浓度掌握不好会刺激牙龈,白酒会损伤牙髓(牙齿神经),加重疼痛和松动!正确做法是用清水或医用漱口水(不含酒精的儿童款)。
✘ “涂牙膏/云南白药止血”:牙膏里的摩擦剂会刺激伤口,云南白药对口腔黏膜有刺激性,还可能掩盖病情(比如出血止住了但感染在加重)。
✘ “不疼就不管了”:特别多孩子外伤后1 - 2天不疼了,家长就停止软食、不复查——但牙周膜修复需要4 - 6周,过早受力可能导致“再损伤”,比如牙根吸收(早期没症状,等发现时已无法挽回)。
坑2:就医选择“图便宜”——小诊所可能让你多花10倍钱!
✘ “不拍X光就治疗”:有些小诊所为了省钱,仅凭“眼睛看”就判断牙齿松动程度,可能漏诊“牙根纵裂”(需要CT才能发现),导致治疗后牙齿反复松动,末尾不得不拔除(恒牙拔除后修复费用至少1万元起)。
✘ “过度治疗拔恒牙”:个别诊所会把“可固定的松动牙”说成“必须拔”,诱导家长做“种植牙”——记住:青少年恒牙只要牙根没断、不松动Ⅲ度,99%能保住,拔恒牙前一定要去国有医院口腔科或儿童口腔专科二次确诊!
坑3:费用认知“有误区”——这些情况能报销!
特别多家长觉得“看牙贵”就拖延,其实:
✓ 检查费(X光、CT)、基础治疗(固定、简单充填)在医疗保险定点医院可刷医疗保险卡报销(报销比例约50% - 70%,具体看当地政策);
✓ 学校的“意外险”通常包含“牙外伤治疗”(比如固定、根管治疗),保留好病历和费用清单可申请理赔;
✓ 别信“偏方省钱”:比如网上买“牙齿固定胶水”自行操作(约20元),可能导致牙龈感染、牙齿粘连,末尾治疗费用比正规医院贵3 - 5倍。
看到这里,家长们应该心里有数了:青少年门牙松动并不可怕,关键在“及时发现+科学处理”——轻微松动+出血,先在家用“停、止、固”3步稳住,24小时内去医院拍X光片,只要牙根没断、处理及时,80%以上的牙齿都能修复稳固。记住:恒牙是孩子要用一辈子的“天然牙”,一旦受损无法再生,别因“怕麻烦”“等自愈”让小问题变成大遗憾。如果发现孩子门牙松动,别犹豫,现在就带他去正规医院口腔科检查——早一天处理,牙齿稳固的概率就多一分!
优惠
温州优博口腔门诊部口腔颌面外科费用仅需680元起,原价980元起,助您畅享口腔健康服务!
2025-09-22 12:48:03
深圳友睦口腔门诊部活动义齿价格表:原价2980元起,现优惠价仅需2380元起,限时优惠,欢迎前来体验超值服务!
2025-10-01 12:09:03
佛山华南口腔门诊牙齿美白收费仅需680元起,原价980元起,优惠活动不容错过!
2025-10-02 11:37:04
株洲芦淞区华美口腔诊所口腔预防保健原价298元起,现仅需198元起,轻松拥有健康口腔!
2025-10-10 11:38:03
宁波雅源口腔诊所推出牙周治疗优惠活动,原价800元起现仅需600元起!
2025-10-12 12:09:02
昆山玖果口腔门诊牙周治疗现价仅350元起,原价500元起,优惠价格表发布!
2025-10-15 12:36:02
美容