联系我们:

您的位置: 时光网 > 资讯 > 牙龈萎缩牙齿松动有办法补救吗?2025牙医详解:刮治/正畸/种植牙哪种治疗最有效好得快!

牙龈萎缩牙齿松动有办法补救吗?2025牙医详解:刮治/正畸/种植牙哪种治疗最有效好得快!

发布时间:2025-10-21 09:20:02

阅读:

牙龈萎缩牙齿松动是许多人面临的口腔问题,尤其是中老年人和正畸人群更为关注。特别多人担心牙齿松动后会脱落,影响正常生活,甚至尝试各种偏方或不恰当的产品,比如有人听说牙科分离剂能治疗,其实这是错误的认知。牙科分离剂对牙齿松动和牙龈萎缩没有任何治疗作用,它只是口腔修复过程中的辅助材料,用于防止材料粘连,不能直接改善牙齿和牙龈的健康问题。那么,牙龈萎缩牙齿松动到底有办法补救吗?答案是肯定的,但需要根据具体病因和重度程度选择合适的治疗方案。2025年牙科临床数据显示,早期牙周病导致的轻度松动牙齿,通过科学治疗后保留率可达90%以上,而重度松动若延误治疗,5年内脱落风险高达70%。本文将从原因分析、治疗方法、正畸可能性、避坑指南等方面详细解答,帮助大家正确应对这一问题。

一、牙龈萎缩牙齿松动的原因:为什么牙齿会“站不稳”?

牙龈萎缩和牙齿松动并非突然发生,而是长期口腔问题积累的结果。了解原因才能针对性治疗,以下是三大主要诱因:

1. 牙周病是“头号杀手”,90%的松动源于此

牙周病是牙龈和牙槽骨的慢性炎症,就像牙齿周围的“土壤”被侵蚀,导致牙齿失去支撑。我国35岁以上人群牙周病患病率高达80%,其中牙结石和牙菌斑是主要诱因。比如长期不洗牙,牙结石会刺激牙龈红肿出血,逐渐发展为牙周袋,细菌深入破坏牙槽骨,牙齿就会慢慢松动。实例:28岁的小王因长期熬夜、刷牙敷衍,牙龈频繁出血未重视,半年后发现下前牙松动,检查发现牙槽骨已吸收1/3,确诊为中度牙周炎。

2. 不良习惯加速牙齿“退化”

- 错误刷牙方式:用力横刷、使用硬毛牙刷,会像“拉锯”一样磨损牙龈,导致萎缩。调查显示,60%的牙龈萎缩与横向刷牙有关

- 咬硬物、夜磨牙:长期咬坚果、冰块或夜间磨牙,会增加牙齿负担,导致牙槽骨吸收。

- 吸烟:尼古丁会减少牙龈血流,降低抵抗力,吸烟者患牙周病的概率是不吸烟者的3倍。

3. 全身疾病和特殊情况“雪上加霜”

糖尿病、高血压等慢性病会影响牙龈血循环,导致修复能力下降;女性孕期激素变化也可能引发牙龈问题。此外,牙齿矫正时用力过大、假牙不合适压迫牙龈,也会导致萎缩和松动。

二、牙龈萎缩牙齿松动能补救吗?分3种程度对症治疗

二、牙龈萎缩牙齿松动能补救吗?分3种程度对症治疗

特别多人发现牙齿松动就恐慌,其实只要及时干预,大部分情况都能改善。医生会根据松动程度(Ⅰ度、Ⅱ度、Ⅲ度)制定方案:

1. 轻度松动(Ⅰ度):及时止损,保住牙齿

症状:牙齿轻微晃动,牙龈红肿出血,无明显牙缝变大。

治疗重点:控制炎症,修复牙龈健康。

- 牙周基础治疗:通过洗牙(龈上洁治)去除牙结石和菌斑,再用牙周刮治清理牙龈下的“隐藏污垢”。研究显示,规范牙周治疗后,85%的轻度松动牙齿可修复稳固

- 局部用药:在牙周袋内涂抹抗菌药物(如米诺环素凝胶),促进消炎愈合。

- 改善习惯:改用软毛牙刷,采用“巴氏刷牙法”(45度角轻柔刷洗),使用牙线清洁牙缝。

实例:55岁的李阿姨体检发现牙龈萎缩,牙齿轻微松动,通过洗牙+刮治+日常护理,3个月后牙龈红肿消退,牙齿稳固度明显提升。

2. 中度松动(Ⅱ度):固定加固,延缓恶化

症状:牙齿晃动明显,咬硬物时疼痛,牙龈退缩露出牙根,牙缝变大。

治疗重点:固定松动牙,防止牙槽骨进一步吸收。

- 牙周夹板固定:用纤维带或树脂将松动牙与相邻健康牙“绑定”,分散咬合力,让牙槽骨有机会修复。夹板固定后,6 - 12个月牙槽骨可部分再生

- 引导组织再生术(GTR):在萎缩的牙龈处放置生物膜,引导牙周膜细胞生长,覆盖暴露的牙根。

避坑点:不要轻信“牙齿松动吃钙片”,钙主要影响骨骼,牙龈和牙槽骨问题需局部治疗,补钙无法直达病灶。

3. 重度松动(Ⅲ度):拔牙还是保留?看“保留价值”

症状:牙齿晃动幅度超过2mm,无法正常咀嚼,牙龈重度萎缩,牙根暴露1/2以上。

治疗选择:

- 可保留情况:牙根长度足够、骨量尚可,通过牙周翻瓣手术清除深部感染,植入人工骨粉填补骨缺损,再用夹板长期固定。

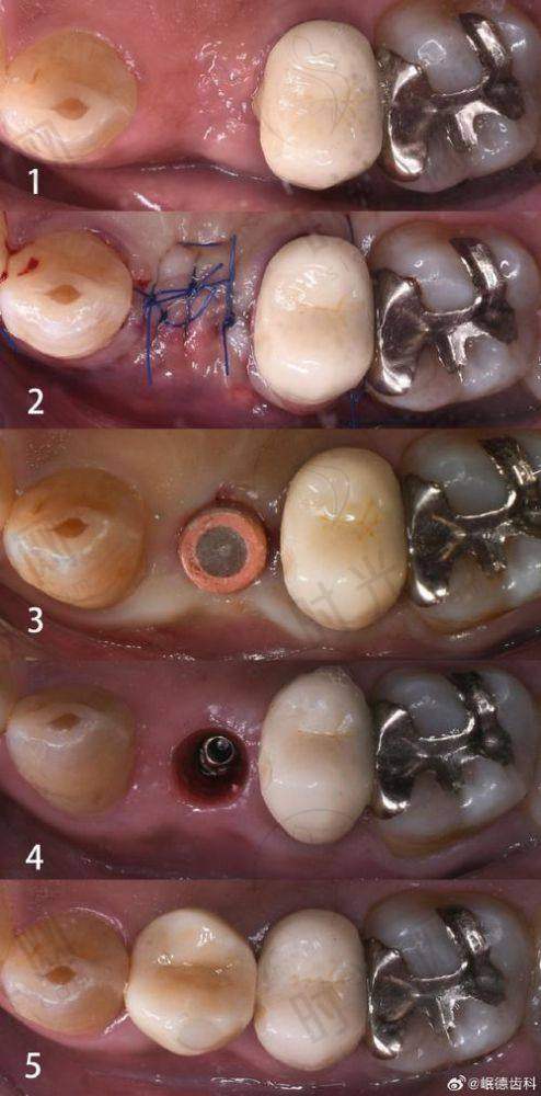
- 需拔除情况:牙根过短、骨吸收重度,保留会反复发炎,建议拔除后种植修复。种植牙5年成功几率可达95%以上,是目前更接近自然牙的修复方式。

实例:70岁的王爷爷右下后牙重度松动,检查发现牙槽骨吸收至根尖,无法保留,拔除后3个月做了种植牙,修复了正常咀嚼功能。

三、牙龈萎缩牙齿松动能做正畸吗?2类人群要注意

三、牙龈萎缩牙齿松动能做正畸吗?2类人群要注意

年轻人担心牙齿不齐想矫正,但又有牙龈萎缩和松动,能不能做正畸?这需要分情况:

1. 可以正畸的情况:轻度问题+严格控制

适用人群:Ⅰ度松动、牙龈炎症已控制、牙槽骨稳定。

注意事项:

- 轻力矫正:医生会减小牵引力,避免加重松动。

- 加强口腔清洁:佩戴牙套后更易藏污纳垢,需使用冲牙器、牙间刷清洁,定期洗牙。

实例:25岁的小林有轻度牙周炎,牙齿Ⅰ度松动,先做牙周治疗控制炎症,再用隐形矫正(如隐适美),18个月后牙齿排齐,松动未加重。

2. 不建议正畸的情况:重度问题+高风险

禁忌人群:Ⅱ度以上松动、牙龈萎缩超过牙根1/3、牙槽骨吸收重度。

原因:矫正时牙齿移动会对牙槽骨产生压力,重度松动患者可能导致牙齿脱落。

特殊情况:若因牙齿倾斜导致咬合创伤加重松动,可在牙周治疗后,通过“少量牙齿移动”调整咬合,减轻松动牙负担。

四、牙周刮治:牙龈萎缩松动的“基础治疗”,但不是万能药

四、牙周刮治:牙龈萎缩松动的“基础治疗”,但不是万能药

特别多患者听说“刮治能治好松动牙”,其实它有明确的作用和局限:

1. 牙周刮治的作用:清理“病根”,控制炎症

刮治是用精细的器械深入牙龈下(3 - 5mm),刮除牙结石和病变组织,就像“给牙龈大扫除”。它能治好早期牙周炎,防止松动加重,但对已经松动的牙齿,无法直接让其变稳固,需配合固定、手术等其他治疗。

2. 刮治后注意事项:

- 术后1 - 2天可能有轻微出血,属正常现象,避免吃辛辣、实力强食物。

- 坚持定期复查(每3 - 6个月),牙周病易复发,需长期维护。

五、避坑指南:这些“补救方法”可能害了牙!

五、避坑指南:这些“补救方法”可能害了牙!

面对牙齿松动,特别多人病急乱投医,以下误区要避开:

1. 偏方不可信:“草药敷牙龈”“醋漱口”会加重损伤

民间流传的“用醋漱口除牙石”“草药敷牙龈止血”等方法,会腐蚀牙釉质和牙龈,导致炎症扩散,反而加重萎缩和松动。

2. 牙科分离剂别乱用:它不是“治疗药”

如前文所述,牙科分离剂是修复时的辅助材料,用于隔离假牙和口腔组织,对牙龈萎缩和松动毫无作用,误用可能刺激牙龈,引发过敏。

3. 选对机构:小诊所“低价治疗”可能留隐患

牙周治疗对医生技术要求高,小诊所可能刮治不完全,导致炎症复发。建议选择正规医院口腔科或连锁齿科,查看医生是否有“牙周专科医师”资质。

六、日常预防:做好3件事,让牙齿“老当益壮”

六、日常预防:做好3件事,让牙齿“老当益壮”

牙龈萎缩和松动是可防可控的,记住以下关键点:

1. 每天有效清洁:早晚刷牙(每次3分钟)+ 饭后漱口 + 每天用牙线/冲牙器清理牙缝。

2. 定期洗牙:健康人群每年洗牙1 - 2次,牙周病患者每3 - 6个月洗一次。

3. 及时就医:出现牙龈出血、口臭、牙齿敏感等症状,别拖延,早期治疗成本低、成效好。

总结:牙龈萎缩牙齿松动有办法补救吗?关键在“早”和“对”

总结:牙龈萎缩牙齿松动有办法补救吗?关键在“早”和“对”

牙龈萎缩牙齿松动并非“不治之症”,轻度可通过牙周治疗和护理修复,中度需固定加固,重度也能通过种植等方式重建咀嚼功能。重点是发现问题及时到正规医院就诊,别轻信偏方或拖延。如果您正被牙齿松动、牙龈出血困扰,建议立即在线询问专精牙医,或到院做口腔检查,让医生制定个性化治疗方案,别让小问题拖成“掉牙”大麻烦!

口腔

点评

看看其他人的评价(0)

优惠

更多>

美容

更多>