联系我们:

您的位置: 时光网 > 资讯 > 牙齿松了固定一颗牙要多少钱?2025烤瓷牙800/种植牙4990起,哪种修复方式更划算?

牙齿松了固定一颗牙要多少钱?2025烤瓷牙800/种植牙4990起,哪种修复方式更划算?

发布时间:2025-10-21 10:35:02

阅读:

牙齿松动可不是小问题!不管是啃苹果时突然“咯噔”一下,还是刷牙时发现牙齿能轻微晃动,都可能让人心慌——“这牙还能保住吗?固定一颗要花多少钱?”2025年全新数据显示,烤瓷牙修复800元起,种植牙4990元起,价格差了6倍多,到底该怎么选?其实牙齿松动的修复费用像“剥洋葱”,从基础固定的几百元到种植牙的上万元,藏着不少门道:比如外伤撞松的牙齿可能680元就能固定,而牙周病导致的松动可能要花7000元种牙;国产树脂材料比进口便宜一半,私立医院比国有少排队但价格更灵活。今天这篇文章就帮你算清“固定一颗牙”的每一笔账,从费用构成、修复方式对比到避坑指南,让你花更少的钱选到更适合的方案,毕竟牙齿一松,可不是“忍忍就好”的小事!

一、牙齿松了固定一颗牙要多少钱?分情况报价:从680元到1.5万元的差距在哪?

特别多人发现牙齿松动后第一反应是“赶紧固定”,但医生往往会先问:“怎么松的?松到什么程度?”这就像修房子,地基没塌和承重墙裂了,维修费肯定不一样。2025年临床数据显示,牙齿松动的修复费用主要分两大场景,价格差能达到20倍!

? 情况1:外伤撞松牙(年轻人更常见)——680元起就能“绑牢固”

? 情况1:外伤撞松牙(年轻人更常见)——680元起就能“绑牢固”

上周刚接诊的22岁大学生小王,打球时被撞松门牙,检查发现牙根没断、牙冠完好,这种情况根本不用拔牙!医生用“牙周纤维带+树脂”把松动牙和旁边2颗好牙绑成“小团体”,就像给歪掉的树苗搭支架。费用明细超简单:

基础固定费:80元(固定4颗牙,每颗20元,相当于“人工费”)

树脂材料费:选国产30元/颗(4颗120元),进口100元/颗(4颗400元)

纤维带结扎:200元(像“牙齿绷带”,弹性好不易断)

总计:680元(进口材料)vs 400元(国产材料)。

如果松动特别轻微,医生可能推荐“注射固定”,往牙根周围打生物凝胶,890元起就能搞定,全程10分钟,不影响上班上学。但记住:必须满足2个条件——拍牙片显示牙根没折,牙冠没裂纹,否则白花钱!

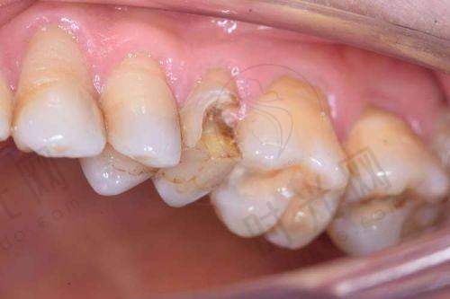
? 情况2:牙周病松牙(中老年人高发)——较低1670元,种牙要花7240元

? 情况2:牙周病松牙(中老年人高发)——较低1670元,种牙要花7240元

65岁的张阿姨因为牙周病松了一颗后槽牙,医生说她有3种修复方案,价格差出“一辆电动车钱”:

烤瓷牙固定:牙周治疗320元+3颗烤瓷冠,1670元,适合松动轻、邻牙健康者

牙周夹板固定:牙周治疗320元+夹板材料费,1980元,适合多颗牙松动、想保留真牙

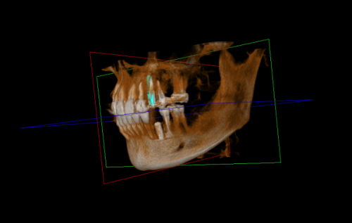
种植牙修复:牙周治疗320元+拔牙420元+种植体,7240元(国产),适合单颗松、骨条件好

重点提醒:种植牙品牌不同,价格能差3倍!韩国登腾4990元起,瑞士ITI要15900元,但使用寿命能到20年以上,年均成本反而比烤瓷牙(8 - 10年)更划算。

? 影响价格的3个“隐形因素”,90%的人不知道!

? 影响价格的3个“隐形因素”,90%的人不知道!

固定牙齿数量:别以为松1颗就只固定1颗!医生通常会“连坐”旁边2 - 3颗好牙,比如烤瓷牙要磨小3颗牙做桥冠,费用直接×3(单颗烤瓷牙450元,3颗就是1350元)。

骨粉要不要加:牙槽骨像“牙齿地基”,如果松牙时间太长,骨头被吸收,种牙时可能要加骨粉,2600元/克,一颗牙可能需要0.5 - 1克,瞬间多花上千元!

医院等级:国有三等甲医院牙周治疗320元起,私立医院可能搞活动“牙周治疗+夹板固定”打包1500元,但要注意:私立医院的种植体品牌一定要问清楚,避免“低价用淘汰材料”。

举个真实实例:北京朝阳区的王女士,在私立医院做韩系种植牙,活动价4990元(含种植体+基台+牙冠),比国有医院便宜2000元,但前提是她骨量充足,不用额外加骨粉。

二、为什么牙齿松动不能拖?放任不管的3个后果,比花钱更可怕!

二、为什么牙齿松动不能拖?放任不管的3个后果,比花钱更可怕!

“不就是松了点吗?反正还能吃饭。”这是特别多人拖到牙齿掉了才后悔的话。其实牙齿松动就像“房子歪了”,越早修越省钱,越拖越麻烦,甚至可能“连累”好牙一起掉!

? 后果1:嚼饭像“嚼沙子”,半年瘦10斤!

? 后果1:嚼饭像“嚼沙子”,半年瘦10斤!

松牙吃东西时会“打晃”,咬硬物像嚼玻璃渣,只能吃软饭、粥,时间长了营养不良。临床数据显示:单颗后槽牙松动的人,平均每月多花300元买软烂食物,还可能因为嚼不碎导致胃炎。

? 后果2:好牙“过劳死”,2年内松一排!

? 后果2:好牙“过劳死”,2年内松一排!

牙齿是“团队作战”,一颗松了,旁边的牙就要承担双倍咬合力,就像两个人抬桌子突然少一个人,剩下的人特别快累倒。张阿姨一开始只有1颗牙松,拖了1年,现在相邻2颗牙也松了,修复费用从1670元变成了5000多元!

? 后果3:牙槽骨“缩水”,想种牙都没机会!

? 后果3:牙槽骨“缩水”,想种牙都没机会!

牙齿掉了后,牙槽骨会以每年0.5 - 1毫米的速度吸收,3年就能从“小山丘”变成“平地”。这时候再想种牙,就得先“填骨头”,每克骨粉2600元,相当于“花钱买地基”,何苦呢?

医生真心话:只要牙齿松动能保留,千万别轻易拔!现在的夹板固定技术能让70%的松动牙“重新上岗”,费用比拔牙种牙便宜一半以上。

三、烤瓷牙800元vs种植牙4990元,哪种修复方式更适合你?3个维度对比表!

三、烤瓷牙800元vs种植牙4990元,哪种修复方式更适合你?3个维度对比表!

特别多人纠结:“烤瓷牙便宜,种植牙贵但耐用,到底选哪个?”其实没有完全地的“好”与“坏”,只有“合适”与“不合适”。2025年口腔医学会的数据显示,选错修复方式导致二次修复的概率高达42%,白花钱还遭罪!

? 维度1:看“使用场景”——吃饭、说话、容貌哪个对你更重要?

? 维度1:看“使用场景”——吃饭、说话、容貌哪个对你更重要?

选烤瓷牙:如果松的是后槽牙,平时主要用来嚼饭,选烤瓷牙性价比高(1670元用8年,年均208元)。但注意:金属内冠可能让牙龈发黑,想美观可选全瓷牙(1200元起/颗)。

选种植牙:如果是门牙松动,影响说话漏风、笑起来露牙龈,种植牙“独立扎根”,不用磨小邻牙,容貌和功能都接近真牙,虽然贵但值得。

? 维度2:算“经济账”——短期省钱vs长期划算?

? 维度2:算“经济账”——短期省钱vs长期划算?

假设使用10年:

烤瓷牙:1670元(含治疗)÷10年 = 167元/年,但10年后可能需要重新做,总费用3340元。

种植牙:4990元(韩系)÷20年 = 249.5元/年,虽然年均贵82元,但不用二次花钱,还省去了中间折腾的时间。

适合人群:年轻人(20 - 40岁)建议一步到位选种植,能用一辈子;中老年人(60岁以上)如果身体条件一般,选烤瓷牙或活动假牙(200元起)过渡更稳妥。

? 维度3:看“身体条件”——这3类人不建议种牙!

? 维度3:看“身体条件”——这3类人不建议种牙!

糖尿病血糖控制不好(空腹血糖>8mmol/L),伤口难愈合;

骨质疏松重度,吃双膦酸盐类药物(种牙可能导致骨头坏死);

长期吸烟(每天>10支),种植体成功几率会下降30%。

这类人群可以选“牙周夹板固定”,用纤维带把松牙和邻牙绑在一起,1980元起,虽然没有种植牙耐用,但能保留真牙,后期还能调整。

四、避坑指南:固定牙齿前必问医生的5个问题+术后护理“黄金3步法”!

四、避坑指南:固定牙齿前必问医生的5个问题+术后护理“黄金3步法”!

“为什么我在A医院问的种牙5000元,B医院要1万?”“低价套餐里是不是藏着隐形消费?”别慌,掌握这些技巧,让你少花冤枉钱!

? 面诊时一定要问的5句话,避免被“套路”!

? 面诊时一定要问的5句话,避免被“套路”!

“固定方案需要磨几颗好牙?能保留多少真牙组织?”(防止过度治疗,比如明明能夹板固定,却被忽悠拔了种牙)

“报价里包含牙周治疗、拍CT、麻药这些费用吗?”(特别多低价套餐只含材料费,后续加项能翻一倍)

“用的种植体/树脂是什么品牌?有没有质保卡?”(韩国登腾、奥齿泰有10年质保,小品牌可能没保护)

“如果修复后还是松动,能免费调整吗?”,(正规医院会确保3个月内免费复诊调整)

“术后需要吃消炎药吗?医疗保险能报销哪些项目?”(牙周治疗部分医疗保险可报,种植牙全自费)

? 术后护理“3步法”,让松牙固定更牢固!

? 术后护理“3步法”,让松牙固定更牢固!

饮食:前3天吃“宝宝餐”——温凉的粥、豆腐、鸡蛋羹,别用松牙侧嚼东西,避免纤维带脱落(重新绑一次要200元)。

清洁:用“软毛牙刷+冲牙器”——松牙周围用软毛牙刷轻轻刷,牙缝用冲牙器(压力调较低档),防止食物残渣堆积引发牙周炎。

复查:3个月内必须拍一次牙片——检查骨头愈合情况,尤其是种牙后,医生会看种植体和骨头的结合度,早发现问题早处理。

真实实例:李叔叔固定牙齿后,觉得“反正花了钱,随便吃”,结果啃排骨导致夹板松动,重新治疗多花了800元。医生说:“术后护理到位,固定成功几率能从70%提到95%!”

结尾:牙齿松了别慌,先做这2件事!

结尾:牙齿松了别慌,先做这2件事!

牙齿松了固定一颗牙要多少钱?2025年的答案是:从400元(外伤国产固定)到15900元(瑞士种植牙)不等,但关键不是选较便宜的,而是选“适合自己”的——年轻人外伤松牙优先选夹板固定,中老年人牙周病松牙看骨条件选种植或烤瓷牙,预算有限用活动假牙过渡也没问题。记住:牙齿松动就像“汽车螺丝松了”,及时拧紧还能用特别久,拖到掉了再修,不仅花钱多,还可能永远失去“真牙地基”。现在就对照文章,看看自己属于哪种情况,或者直接拿着牙片去医院问医生:“我的牙能保留吗?哪种方案性价比更高?”保护好牙齿,才能好好享受火锅、排骨、坚果的快乐呀!

口腔

点评

看看其他人的评价(0)

优惠

更多>

美容

更多>