您的位置: 时光网 > 资讯 > 牙齿从中间裂成两半怎么修复?2025牙医支招:牙冠/贴面/嵌体修复方法+步骤
发布时间:2025-10-25 10:36:01
阅读:
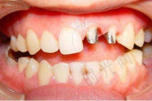
牙齿从中间裂成两半可不是小事!别以为忍忍就能过去,这就像家里的墙裂了道缝,不及时修补可能会塌。最近接诊的28岁程序员小王就吃了大亏——打球时磕到门牙裂成两半,嫌麻烦拖了3个月,结果裂纹从牙冠延伸到牙根,末尾只能拔牙种牙,多花了1万多不说,还遭了不少罪。其实牙齿裂开后,只要选对修复方法,大部分情况都能保住!今天就用大白话给大家讲清楚:牙齿裂成两半到底怎么修?不同情况选哪种方法性价比更高?还有90%的人都会踩的3个坑要避开!

牙齿裂开就像砍树,树干裂了还能救,树根断了就难办了。医生会先拍牙片判断裂纹深度,常见有3种情况:
1. 表面裂纹(只裂到牙釉质):就像苹果皮裂了道缝,可能没感觉或吃冷的有点酸。这种情况做个树脂贴面就行,把裂缝补起来,费用500 - 1500元,当天就能搞定,适合前牙美观要求高的人。
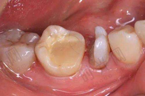
2. 中度裂(到牙本质但没碰牙神经):相当于苹果裂到果肉,咬东西会疼。这时得做嵌体或部分冠,像给牙齿戴个“保护壳”,比补牙结实,能用5 - 10年,费用2000 - 4000元。我表妹的虎牙就是这么修的,现在啃排骨都没问题。
3. 深度裂(裂到牙神经或牙根):苹果核都裂了!会疼得睡不着,牙龈还可能肿。这种必须先做根管治疗(也就是“杀神经”),把感染的牙神经清理干净,再套个全瓷冠,费用5000 - 12000元。要是裂纹顺着牙根劈到底,那就只能拔牙,之后选种植牙或搭桥,价格8000元起。

特别多人纠结选牙冠还是嵌体,其实就像选手机壳:全包壳(牙冠)保护全方面但要磨点牙,半包壳(嵌体)贴合好但适合裂缝小的情况。这里有个对比表,帮你一眼看懂:
| 修复方式 | 适合情况 | 优点 | 缺点 | 参考价(单颗) |
|---|---|---|---|---|
| 树脂贴面 | 前牙小裂纹,想美观 | 磨牙少、当天完成 | 容易掉,能用3 - 5年 | 500 - 1500元 |
| 全瓷嵌体 | 后牙裂缝,咬硬物多 | 硬度高,像真牙一样啃东西 | 需要2次就诊 | 3000 - 5000元 |
| 全瓷冠 | 大部分裂牙(除牙根裂) | 耐用10年以上,美观度高 | 要磨掉一圈牙(约1.5mm) | 4000 - 8000元 |
| 种植牙 | 牙齿拔了之后 | 不用磨邻牙,像真牙一样用 | 要做手术,修复期3个月 | 8000 - 20000元 |
重点提示:如果医生没拍牙片就说要拔,赶紧换医院!之前有患者被小诊所忽悠拔了能保留的裂牙,其实拍个CBCT(口腔CT)就能看清牙根情况,千万别让过度治疗坑了!

刚做完修复可不能大意!35岁的李姐戴了牙冠后第二天就啃鸡爪,结果牙冠崩了,又花了2000元重做。记住这3条“保命”护理法:
1. 术后1周吃“软饭”:像粥、豆腐、鸡蛋羹这些,避免用患侧咬东西,尤其别吃坚果、冰块、硬糖。牙冠和牙齿就像刚粘好的瓷砖,24小时内是“脆弱期”,受力容易掉。
2. 每天用牙线清洁牙缝:牙冠和邻牙之间容易卡食物残渣,用牙线从牙龈向上轻轻刮,别用牙签戳,不然可能把牙冠顶松。
3. 每年查一次牙冠:就像汽车年检,医生会检查牙冠有没有松动、边缘是否漏缝。我有个患者戴了8年的牙冠,因为没定期检查,牙龈发炎了都不知道,末尾不得不拆了重做。

万一牙齿突然裂了,别慌!按这几步做能减少伤害:
1. 找断牙:如果掉了一块,用生理盐水或牛奶泡着(别用自来水!),2小时内带到医院,有可能粘回去。
2. 止出血:用干净纱布咬15分钟,冰敷脸颊(每次15分钟,隔5分钟再敷),能消肿止痛。
3. 48小时内必须看医生!超过3天,细菌可能侵入牙神经,本来能直接补的牙就得做根管治疗了。
避坑提醒:别信网上“用强力胶自己粘牙”的偏方!之前有患者用502胶水粘断牙,结果胶水腐蚀牙龈,差点导致败血症,太危险了!
牙齿从中间裂成两半怎么修复?关键在“早发现、选对法、好好护”。记住:裂纹没到牙根就别轻易拔牙,牙冠和嵌体是性价比之王,术后1周别作妖啃硬的。要是不确定自己的情况,赶紧收藏这篇文章,到医院挂口腔修复科(不是牙科随便哪个医生都能做哦),把牙片和本文给医生看,沟通起来更效率高!牙齿是一辈子的事,千万别等小裂缝变成大麻烦,现在行动还来得及!
优惠
成都欢悦口腔医院牙齿矫正现推出限时优惠,原价8000元起,现仅需6800元起!抓紧时间,别错过!
2025-10-03 12:05:03
成都曼斯特口腔门诊部牙齿美白收费现仅需1280元起,原价1880元起,助您绽放迷人笑容!
2025-10-04 12:06:02
超值优惠!九江中山口腔(九龙街总院)补牙仅需600元起,原价800元起,机会难得,快来享受优质服务吧!
2025-10-08 12:46:03
昆山玖果口腔门诊牙周治疗现价仅350元起,原价500元起,优惠价格表发布!
2025-10-15 12:36:02
北京京立口腔门诊部牙周治疗的收费标准为3000元起,目前优惠价仅需2500元起,让您轻松实现健康口腔的梦想!
2025-10-18 12:09:01
厦门世纪优典口腔门诊部牙周治疗原价800元起,现优惠价仅需600元起,难得机会,欢迎前来体验专業护理!
2025-10-24 12:09:02
美容